4.3 Säteilyn hyötykäyttö
FY08 Aine, säteily ja kvantittuminen
Röntgensäteily
- Lyhytaaltoista sähkömagneettista säteilyä
- Aallonpituuden suuruusluokka noin
- Syntyy jarrutussäteilynä tai ominaissäteilynä
- Käytetään mm. lääketieteellisessä kuvantamisessa, tähtitieteessä ja aineen rakenteen tutkimisessa


Kuva: Wikipedia
Kuva: Resonanssi 8 (e-Oppi)
Vastaa seuraaviin kysymyksiin seuraavan videon perusteella.
- Mitä hiukkasia kiihdytetään sähkökentällä?
- Millaisessa väliaineessa edellä mainittuja hiukkasia kiihdytetään?
- Mitkä kaksi eri tapaa tuottavat röntgensäteilyä?
Röntgensäteilyn tuottoon liittyvät kysymykset, jotka on ymmärrettävä (vastaa näihin tunnin päätteeksi):
- Miksi röntgensäteilyn spektri on jatkuva?
- Miksi röntgenputkessa ei voi syntyä äärettömän lyhytaaltoista säteilyä?
- Missä tilanteissa syntyvät röntgensäteilyn spektrissä havaittavat piikit?
Tuntitehtävä
Röntgenputki
- Sähkövirta lämmittää katodia, jolloin katodilta irtoaa elektroneja. Katodin ja anodin välinen jännite kiihdyttää irronneita elektroneja.
- Tyhjiötä tarvitaan elektronien nopeuden kasvattamiseen (väliaineessa elektronit eivät saavuta yhtä suurta nopeutta kuin tyhjiössä).
- Törmätessään anodimetalliin elektronien liike hidastuu ja syntyy jarrutussäteilyä eli röntgensäteilyä.

Kuva: Wikipedia / Daniel W. Rickey CC BY-SA 3.0
Röntgensäteilyn synty
- Elektronit törmäävät metallikohtioon, jossa niiden liike hidastuu äkillisesti
- Liike-energia muuttuu fotonin energiaksi
- Kun elektronien liike-energian muutos on riittävän suuri, syntyy lyhytaaltoista röntgensäteilyä


Sähkömagneettinen vuorovaikutus varausten välillä
Kuva: Resonanssi 8 (e-Oppi)
Varauksista fotoneihin
- Varauksia q kiihdytetään sähkökentän avulla
- Sähkökentän tekemä työ (W = qU) muuttaa elektronien liike-energiaa
- Hidastuvassa liikkeessä olevan varauksen liike-energia pienenee
- Hidastuessaan varaus vuorovaikuttaa väliaineen kanssa sähkömagneettisesti
- Hidastuvassa liikkeessä oleva varaus emittoi sähkömagneettista säteilyä eli fotoneja
- Jos pysähtyminen tapahtuu äkillisesti, muuttuu koko liike-energia säteilykvantiksi eli fotoniksi
- Hidastuvassa liikkeessä syntynyttä säteilyä kutsutaan jarrutussäteilyksi
Röntgensäteilyn tuottaminen
- Mitä suurempi jännite, sitä lyhytaaltoisempaa säteilyä saadaan aikaan
- Kiihdytysjännitteet voivat olla suuruusluokkaa 100 kV
- Sähkökentän tekemä työ muuttuu elektronin liike-energiaksi, joka vuorovaikutuksessa atomiytimen kanssa muuttuu (osittain tai kokonaan) fotonin energiaksi
Röntgenputkessa käytetään 34 kV:n jännitettä. Mitä aallonpituuksia röntgenputkessa voidaan tuottaa?
Esimerkki 1
Sähkökentän tekemä työ muuttuu elektronien liike-energiaksi:
Syntyvät aallonpituudet ovat siis 36 pm ja sitä pidempiä.
Elektronit menettävät eniten energiaa, kun kaikki liike-energia muuttuu säteilykvantin energiaksi:
Suurimmalla energialla tuotetaan pienin mahdollinen aallonpituus.
Röntgensäteilyn spektri
- Röntgenputken spektrissä havaitaan jatkuva osa sekä säteilypiikkejä
- Aallonpituuden alarajalta alkava jatkuva osa on jarrutussäteilyä
- Piikit ovat ominaissäteilyä
- Syntyy, kun elektronit irrottavat anodimetallin atomeista elektroneja
- Metalliatomin ylemmiltä tiloilta siirtyy elektroneja alemmille tiloille paikaten syntyneitä aukkoja atomi emittoi fotonin


vrt. vetyatomi
Jarrutus-säteily
Ominais-säteily
Kuvat: Resonanssi 8 (e-Oppi)
Röntgensäteilyn spektri
- Spektrin aallonpituuden pienin arvo riippuu kiihdytysjännitteestä
- Mitä suurempi kiihdytysjännite, sitä lyhytaaltoisempaa säteilyä voidaan tuottaa (raja-aallonpituus)
- Röntgensäteilyn spektri on jatkuva, koska kaikkien elektronien liike-energia ei muutu täysin röntgenkvantiksi
- Iso osa muuttuu lämmöksi

Millainen on röntgensäteilyn spektri, jos se on esitetty aallonpituuden sijaan taajuuden kautta?
Kuva: Resonanssi 8 (e-Oppi)
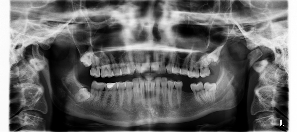
Röntgensäteily lääketieteessä
- Röntgensäteilyä käytetään lääketieteen kuvausmenetelmänä
- Perustuu eri aineiden kykyyn absorboida röntgensäteilyä (vuorovaikutus aineen elektronien kanssa)
- Säteily läpäisee paremmin kudosta kuin luuta (luu koostuu raskaammista alkuaineista kuin pehmytkudos)

Kuvat: Pxhere / CC0

Röntgendiffraktio
- Aaltoliikkeelle tapahtuu diffraktio, kun se kulkee kapean raon läpi
- Raon kokoluokka on sama kuin aaltoliikkeen aallonpituus
- Aineiden rakenneosat ovat jäsentyneet säännöllisiksi hiloiksi
- Rakenneosasten välimatka on samaa suuruusluokkaa kuin röntgensäteiden aallonpituus
- Kun röngensäteet osuvat aineen pintaan, tapahtuu diffraktio
- Sironneen säteen kulma riippuu hilatasojen välimatkasta d

Röntgendiffraktio ja Braggin laki
- Röntgensäteet diffraktoituvat hilatasoista
- Takana olevalle varjostimelle syntyy interferenssimaksimeja
- Aallonpituuden monikerta on sama kuin hilatasojen välimatka d
- Vahvistavan interferenssin ehto tunnetaan Braggin lakina
- Röntgendiffraktio on tapa tutkia aineen rakennetta
- Aineen atomien sijoittuminen toisiinsa nähden
- Nykyinen käsitys aineen rakenteesta perustuu röntgendiffraktiotutkimuksiin
- DNA-rakenteen selvitys on tehty röntgendiffraktion avulla

Kuva: Wikipedia
Magneettikuvaus (MRI)
- Lääketieteellinen kuvausmenetelmä, jossa ei altistuta ionisoivalle säteilylle
- Kehoon tuodaan radioaaltopulssi kehon vety-ytimet (protonit) absorboivat pulssin energiaa ja siirtyvät korkeampaan energiatilaan
- Viritystilan purkautuessa vety-ytimien emittoimat radioaallot mitataan
- Vety on heikosti magneettinen aine
- Maan magneettikenttä ei vaikuta vetyatomien suuntautumiseen
- Kelojen avulla tuotetussa voimakkaassa magneettikentässä vety-ytimet järjestäytyvät magneettikentän määräämään suuntaan
- Kudokset erottuvat toisistaan erilaisten vetypitoisuuksien perusteella
Muita lääketieteen menetelmiä
- Isotooppilääketiede ja positroniemissiotomografia (PET)
- Potilaalle annettava merkkiaine (radiolääke) kulkeutuu kehossa aineenvaihdunnan mukana ja hakeutuu tiettyihin kudoksiin
- Merkkiaineen lähettämää radioaktiivista säteilyä voidaan mitata
- PET-kuvauksessa käytettävä β+ -aktiivinen isotooppi hajoaa ja tuottaa positroneja
- Positroni kohtaa elektronin ja ne annihiloituvat hiukkasten massat muuttuvat gammakvanteiksi
- Käytetään isotooppeja, joilla on lyhyt puoliintumisaika (n. 2–110 min)
- Sädehoito
- Syöpäsoluja tuhotaan kohdistamalla ionisoivaa säteilyä syöpäkasvaimeen pieninä kerta-annoksina
Muita menetelmiä
- Säteilytys
- Välineiden sterilisointi tai elintarvikkeiden mikro-organismien tuhoaminen
- Palovaroitin
- Am-241 -isotoopin synnyttämät alfahiukkaset ionisoivat ilmaa
- Ionisoitunut ilma johtaa sähköä syntyy mitattava sähkövirta
- Savuhiukkaset estävät sähkövirran kulun ja palovaroitin hälyttää
- Aktiivisuus pienenee eksponentiaalisesti, jolloin laitteen herkkyys heikkenee pitää uusia 5-10 vuoden välein
-
Radiohiiliajoitus
- Elävän organismin kuolinajankohta selvitetään radiohiilen eli C-14 -isotoopin avulla
- Kts. diat kpl 3.3
4.3 Säteilyn hyötykäyttö
By pauliinak
4.3 Säteilyn hyötykäyttö
FY08 Aine, säteily ja kvantittuminen
- 419